Oddělení patologie a parazitologie
Oddělení patologie a parazitologie provádí vyšetření širokého spektra hospodářských, domácích, zájmových, exotických, laboratorních a volně žijících zvířat pro potřeby státního veterinárního dozoru i soukromých subjektů.
Patoanatomická pitva uhynulých zvířat (akreditovaná metoda) představuje první a základní stupeň komplexní diagnostiky onemocnění zvířat. Společně s dalšími navazujícími vyšetřeními, jako je bakteriologické, parazitologické, virologické, toxikologické aj., umožňuje stanovit stupeň poškození organismu, druh onemocnění a příčinu úhynu zvířete. Provádíme i pitvu dodaných orgánů, zejména u velkých zvířat, jejichž pitva není v našich prostorech z technických důvodů možná. Dále provádíme histopatologická, případně cytologická, vyšetření z postmortálně i intravitálně odebraných tkání zvířat (barvení především HE, dále Giemsa, Dip Quick Stain, Ziehl - Nielsen, Kongo červeň), v masných výrobcích a potravinách barvení Alizarinovou červení pro určení kostních úlomků (akreditovaná metoda).
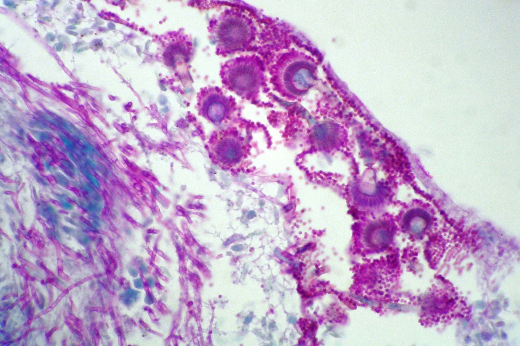
Parazitologická laboratoř provádí komplexní diagnostiku vnitřních a vnějších parazitů u různých zvířecích druhů jak z klinického, tak i ze sekčního materiálu. K vyšetření vzorků je využito klasických i moderních metod. Součástí oddělení jsou akreditované laboratoře určené k diagnostice Echinococcus spp., Trichinella spp. a Varroa destructor. Pod parazitologickou laboratoř SVÚ Praha spadají pracoviště v Českém Brodě a Příbrami, která zajišťují pouze vyšetření svaloviny u domácích prasat na přítomnost larev Trichinella spp. Odbornou specializací laboratoře parazitologie SVÚ Praha je dlouhodobě nejen diagnostika koprologická (vyšetření trusu zvířat, případně podestýlky), ale i diagnostika tkáňových parazitů (krevní vzorky, svalovina, orgány, seškraby kůže), zejména pak vybraných skupin protozoí, helmintů a zoonóz, s užším zaměřením na tasemnice rodu Taenia, Hydatigera a prvoků rodu Cryptosporidium a Sarcocystis.

